Придется признать: вы – наркоман любви
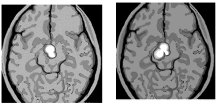
Ниже показаны результаты сканирования мозга «безумно влюбленного» человека и кокаинового наркомана. Убедитесь, что они почти идентичны.

На левом снимке показан участок мозга, активизирующийся у «безумно влюбленного» человека. На правом снимке показан участок мозга, который активизируется при употреблении кокаина
Итак, влюблены ли вы или просто приняли наркотик, ваши ощущения будут одинаковыми. Сканирование также показывает, что у матерей, которые смотрят на своих младенцев, проявляется та же мозговая активность, что и у людей, глядящих на своих любимых. Бартельс и Зеки сделали вывод о том, что романтическая и материнская любовь связаны с продолжением рода, поскольку и любимый человек, и младенец обещают сохранение ДНК.
Более 800 000 книг и аудиокниг! 📚
Получи 2 месяца Литрес Подписки в подарок и наслаждайся неограниченным чтением
ПОЛУЧИТЬ ПОДАРОКДанный текст является ознакомительным фрагментом.