Почему мужчины и женщины воспринимают любовь по-разному
Фишер и Браун, вместе и по отдельности, проанализировали результаты сканирования мозга более 3000 «безумно влюбленных» студентов, полученные в тот момент, когда им показывали фотографии любимых. Ученые обнаружили, что у женщин, принимавших участие в исследовании, проявлялась повышенная активность хвостатого ядра (мы уже говорили, что область мозга, связанная с памятью, эмоциями и вниманием, «центр удовольствий», – это задняя теменная кора, которая участвует в формировании ментальных образов и воспоминаний). Мужчины, участвовавшие в исследовании, демонстрировали повышенную активность визуального участка коры и зон, связанных с обработкой зрительных образов, в том числе и той области, которая отвечает за сексуальное возбуждение. Бартельс и Зеки пришли к тому же выводу независимо.
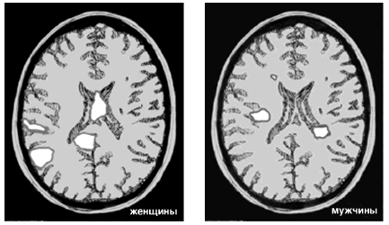
Приведенные ниже результаты сканирования мозга иллюстрируют исследование, проведенное доктором Браун. Они показывают, в каком участке мозга «располагается» любовь и почему мужчины и женщины относятся к этому чувству по-разному. Это снимки мозга мужчин и женщин, которые смотрят на фотографии людей, в которых они страстно влюблены.

Образы любви. Мужчины и женщины смотрят на фотографии любимых людей.
Белым цветом показаны активные области
Вы видите, что у мужчин светлых участков меньше, чем у женщин. Однако, когда эти снимки показываются в цвете, становится ясно, что активизированные участки мужского мозга действуют более интенсивно. Обширные активизированные участки женского мозга гораздо менее активны. У женщин таких участков больше, и расположены они не там, где у мужчин. Это объясняет, почему мужчины и женщины относятся к любовным отношениям по-разному.
В ходе другого исследования людям показывали эротические фотографии и одновременно проводили сканирование мозга. Браун и Фишер не обнаружили на снимках ни одного участка, связанного с «влюбленностью». Как уже отмечалось раньше, они выявили активность гипоталамуса, который управляет такими чувствами, как голод и жажда, а также мозжечковой миндалины, ответственной за возбуждение. Отсюда можно сделать вывод о том, что влюбленность и страсть – это разные состояния, поскольку в мозгу задействуются разные системы.
В заключение скажем, что ученые доказали: при оценке представителей противоположного пола на ранней стадии любви в мозгу мужчин и женщин происходят совершенно разные процессы. У мужчин главное орудие оценки сексуального потенциала женщин – глаза. Женщины же оценивают потенциал мужчины в качестве долгосрочного партнера, опираясь на память. Страсть и любовь воздействуют на разные участки мозга. Это вовсе не одно и то же.
Более 800 000 книг и аудиокниг! 📚
Получи 2 месяца Литрес Подписки в подарок и наслаждайся неограниченным чтением
ПОЛУЧИТЬ ПОДАРОКДанный текст является ознакомительным фрагментом.